New Patient Special Offer: Check-up & Clean Package for only $290 OR on the spot health fund rebates. (Save $110)
 1st Floor/114 Yarrara Rd, Pennant Hills NSW 2120
1st Floor/114 Yarrara Rd, Pennant Hills NSW 2120

Pennant Hills Dentist

High Quality, Affordable Dental Care at Pennant Hills Dentist

Personalized Care. Friendly Team. Modern Treatments. 30+ Years of Dental Experience. 2000+ Satisfied Happy Patients
Google Reviews
Offer Limited to 15 Patients Per Month (4 Slots Left)

Pennant Hills Dentist

High Quality, Affordable Dental Care at Pennant Hills Dentist

Personalized Care. Friendly Team. Modern Treatments. 30+ Years of Dental Experience. 2000+ Satisfied Happy Patients
Welcome to
Beyond 32 Dental
30+ Years of Dental Experience
Free Dental Implant & Invisalign Consultation
QIP Accredited 
Flexible, Interest Free Payment Plans 
Our Dental Services
What We Treat
General Dentistry Pennant Hills Dentist
General Dentistry
We believe prevention is key to a healthy mouth, hence why regular dental check-ups are essential, as they reduce the likelihood of potential painful dental emergencies that may affect your quality of life.
Orthodontics Pennant Hills Dentist
Orthodontics
Orthodontic treatments are not only designed to straighten your teeth and offer you a symmetrical dentition, but they can also give you an attractive smile and improve the health of your jaw, teeth, and even your overall health.
Emergency Dentist Pennant Hills Dentist
Emergency Dentist
Our priority is to alleviate your discomfort and where possible, save your tooth, which is why we provide emergency same-day appointments at our modern dental clinic here in Pennant Hills.
Dental Implants Pennant Hills Dentist
Dental Implants 
Are you considering a long-term solution for missing teeth? Dental implants may be the answer! Dental implants are intended to provide a long-term, aesthetic option for patients wanting to replace missing teeth.
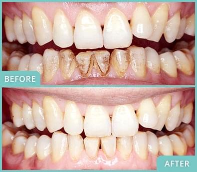
A more comfortable teeth cleaning at Beyond 32 Dental
AIRFLOW® Prophylaxis Master
A refreshing Spa-like treatment experience is now offered by your dentist!

With the revolutionary AIRFLOW® Prophylaxis Master employing EMS technology for the groundbreaking "Guided Biofilm Therapy", you will enjoy clean teeth and a refreshed mouth and you will gain valuable protection against caries and gum disease.

Exceptionally gentle and safe for the elderly

Ideal for getting too hard to reach areas, effectively removing plaque and tartar and food particles

Great for those with very sensitive teeth, making the cleaning process so much more comfortable.
LIMITED TIME ONLY 
NEW PATIENT SPECIALS 
Check-up & Clean Pennant Hills Dentist

Check-up & Clean

◉ Comprehensive Exam and Consultation
◉ Scale & Clean
◉ Gum Health Assessment
◉ Fresh Fluoride

Only $110 for under 6 years old
Only $160 for 6-17 years old
Only $290 for 18+ years old

Health fund rebates are available!
Dental Implants Offer Pennant Hills Dentist

Dental Implants

◉ Complimentary Consultation (Valued at $149)
◉ FREE CBCT Scan
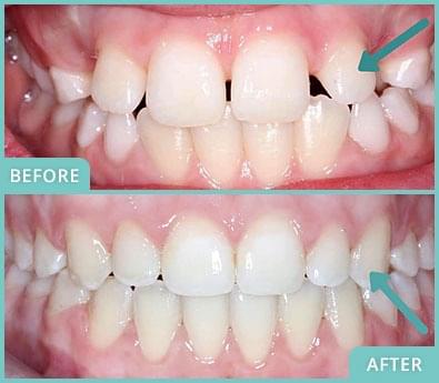
Veneers Pennant Hills Dentist

Veneers

◉ Complimentary Veneers Consultation

Veneers Package (minimum of 8 veneers)
◉ FREE Digital Smile Design
◉ Complimentary Night Guard
◉ 10-year warranty (T&C applies)


Take Advantage of our New Patient Specials! 
◉ Checkup
◉ All necessary X-rays
◉ Full mouth scale and clean
◉ Fluoride treatment
Happy Patient Pennant Hills Dentists
What to expect
Dental Check up & Clean 
Exam and Evaluation Pennant Hills Dentist
Exam and Evaluation
Our dentist in Pennant Hills will examine to identify issues or possible problem areas in your teeth and mouth. X-rays may be suggested to find hidden decay so we can take quick action before it escalates to a more serious problem.
Teeth Cleaning Pennant Hills Dentist
Teeth Cleaning
We then proceed with professional teeth cleaning and polishing. This procedure cleans your teeth and gums deeper than daily brushing at home and can help remove plaque and tartar before decay or gum disease sets in.
Education and Advice Pennant Hills Dentist
Education and Advice
Once the exam and cleaning are complete, our dentist in Pennant Hills will discuss with you any problem areas identified and share with you best practices to avoid future dental issues. 
Meet Your Local Dentist in Pennant Hills
Dr Jeff Lin
DR JEFF LIN
BSc BDSc (QLD)
Raised in a town of Dunedin, New Zealand, Dr Jeff, with his gentle and caring nature, has been a dedicated dentist for over 13 years. His passion for science was sparked at the University of Otago, where he earned a Bachelor's degree in Biochemistry.

After developing his skills in regional Queensland, he established his practice, Beyond 32 Dental, in Cherrybrook, Sydney's Hills district, in 2013. His hard work and dedication soon turned it into a sought-after destination for high-quality dental treatments.

He holds a keen interest in cosmetic and implant dentistry, dedicating numerous hours to continued learning and professional development.

Dr Jeff's approach to patient care is comprehensive and personalised. He takes immense pride in treating every patient as he would his own family, helping them realise their dental aspirations through a friendly and empathetic approach.
CUSTOM JAVASCRIPT / HTML
Dr Jennifer Chung
DR JENNIFER CHUNG
BDSc (Qld)
Dr Jennifer Chung, fondly known as Dr Jen, has been passionately practising dentistry for over 13 years since her graduation from the University of Queensland in 2009 with a Bachelor of Dental Science (BDSc). In addition to her extensive dental career, she is the proud owner of the Beyond 32 Dental clinic, leading a dedicated team in providing top-tier dental care.

Driven by a relentless pursuit of professional growth, Dr Jen completed a rigorous two-year mini-residency in orthodontics under the esteemed guidance of globally acclaimed orthodontist, Dr Derek Mahony. This intensive training has further enriched her expertise and deepened her understanding of the intricacies of orthodontics.

Multilingual and adaptable, Dr Jen is adept at catering to a diverse patient demographic, with fluency in English, Mandarin, and Cantonese. This linguistic versatility ensures seamless, clear communication, promoting a relaxed and stress-free environment for her patients.
Dr Jennifer Chung
Our Results Speak for Themselves 
We Love and Accept All Major Health Funds
Smile Now, Pay Later 
We offer interest-free payment plan options to help make treatment more manageable. Please speak with our team to discuss eligibility and terms.
Ready. Set. Smile. 
Got a question? Ready to make an appointment? Click the button below, fill up the form and we’ll be in touch with you right away. 
Male Patient Pennant Hills Dentists
Find us in Pennant Hills
1st Floor/114 Yarrara Rd, Pennant Hills NSW 2120
Clinic Hours
CUSTOM JAVASCRIPT / HTML
CUSTOM JAVASCRIPT / HTML
About Beyond 32 Dental
At Beyond 32 Dental, we take pride in our professionalism, the comfort of our practice and our range of services. If you need a check-up or some dental work done, then it’s time to book an appointment online today and see why we’re the dental practice of choice for our valued patients in Castle Hill, Glen Haven, Thornleigh, Pennant Hills and beyond.
Terms and Conditions
There’s no pressure, and no obligation to go ahead with treatment
If you need to cancel your appointment for any reason, please call our office ahead of time, so we can treat other people during your scheduled time.

Prices do vary depending on the complexity of your case
We’ll share a specific quote and various payment options with you at your free consultation.

Payment Plan Offer
Any payment plan offers are subject to approval by the registered payment plan provider.
New Patient Special
  • Valid for NEW patients only.
  • For anyone with health funds, we have a HICAPS to claim your rebate on the spot, which means you will only pay a gap after your rebate.
  • The package includes a full comprehensive examination, all necessary X-rays, a full mouth scale and clean, and fluoride treatment.
Dentist Registration Details
[Dr Jennifer Suk Chung] AHPRA Registration No DEN0001208770, type: General
[Dr Jeff Lin] AHPRA Registration No DEN0001162767, type: General
[Dr Ashleigh Kuan Yee Wong] AHPRA Registration No DEN0001994878, type: General
[Dr Leazelle Anne Graham] AHPRA Registration No DEN0002328642, type: General
Note: Any surgical or invasive procedure carries risks. Before proceeding, you should seek a second opinion from an appropriately qualified health practitioner.
Patient Images are published with consent and are intended for educational purposes only. Results vary between individuals, and all dental procedures carry risks. Please seek professional advice from your dentist to determine whether a treatment is appropriate for your circumstances.
New Patient Special Offer: Check-up & Clean Package for only $290 OR on the spot health fund rebates. (Save $110)